Editorial
Riccardo Manfredi, Francesca Lourdes Lia, Cristiana Boldrini
p.1-3
Editorial
Riccardo Manfredi, Francesca Lourdes Lia, Cristiana Boldrini
Case Series
Yogesh Shardul, Anushka Mittal, Samrin Haq, Priyanka Garg
Case Series
N. Karunakaran, Ganesh Rajagopal, Nancy Manodoss, S. Shanmuga Jayanthan, K. Nadanasadharam, Gowtham Ramasamy
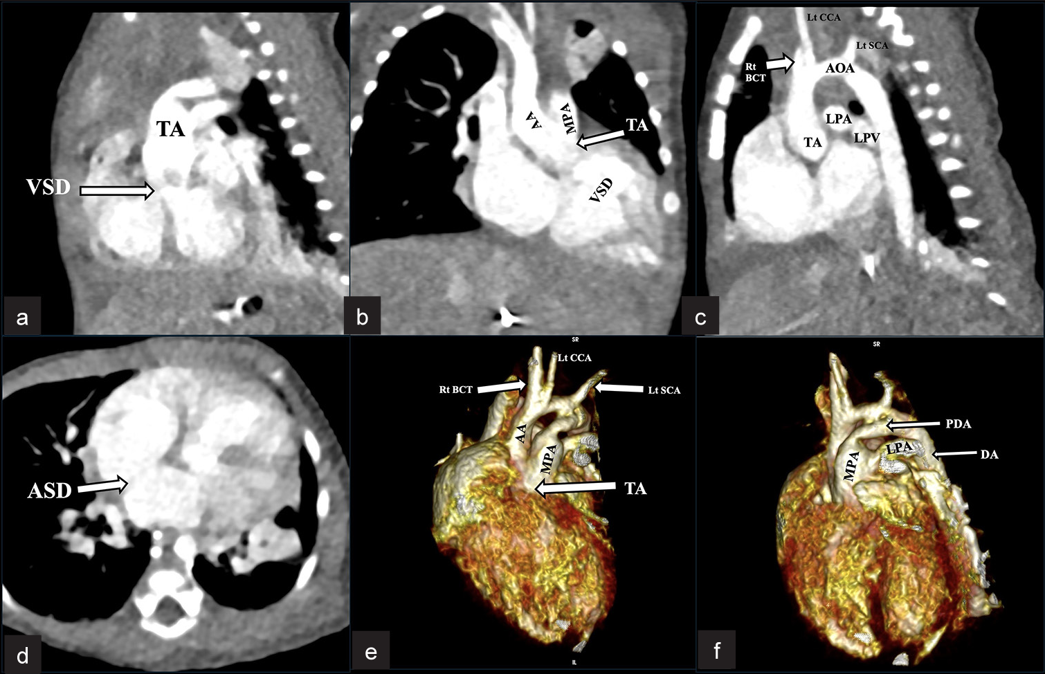
Case Series
Manodoss Nancy, T. Mukuntharajan, N. Karunakaran, Ganesh Rajagopal, S. Shanmuga Jayanthan, K. Nadanasadharam, Gowtham Ramasamy
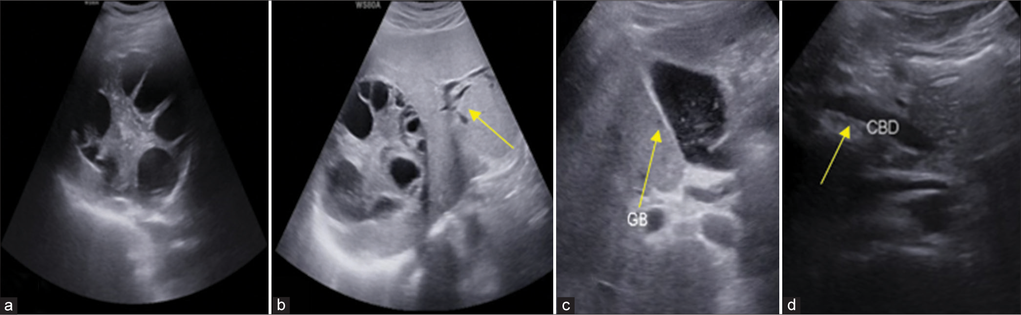
Case Series
Mithun Natarajan, Seetharaman Cannane, Lokesh Vasu
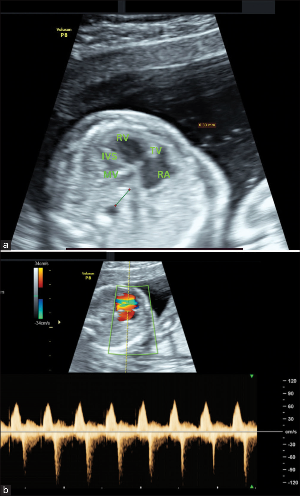
Case Report
Malvika Gulati, Nidhi Goyal, Pankaj Baweja, Nitin Ghonge
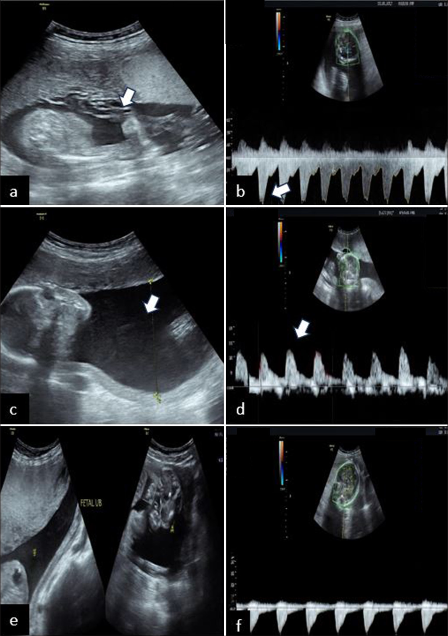
Case Report
Nishat Amina, Anupran Ghosh, Anjali Prakash, Ravina
Case Report
Sana Ashraf Khan, Hemagini Thakkar, Zillani Alam, Kritika Sunil Bhatia
Case Report
Praveenkumar Rathinamoorthy, Abubacker Sulaiman Farook
Case Report
J. Jayaranjeetham, Madhan Ramachandran, V. C. Sunitha
Case Report
Barani Gomathy, Raghul Sugumar, Seetharaman Cannane
Case Report
Ankita Garg, Jyoti Arora, Pooja Mittal
Case Report
Veeraputhiran SenthilVelmurugan, Kathiresan Muthupraveen
Case Report
Shubham Shravan Kumar Singh, Sharad Balasaheb Ghatge, Ajeya Asarkar, Rahul Kalu Bagul
Case Report
Tharun Shaju, Geena Benjamin, S. Mangalanandan, Kiron Jacob Johncy
Case Report
Vineet Kumar Vemuri, Gutti Raghu Madhu Mallik, Naga Varaprasad Vemuri