Translate this page into:
Dropped gallstones as a computed tomography clue in recurrent intra-abdominal absce sses - A case report
*Corresponding author: Deepthi Pathapati, Departments of Radiology, Krishna Institute of Medical Sciences Hospital Enterprises Private Limited, Hyderabad, Telangana, India. deepthipathapati82@gmail.com
-
Received: ,
Accepted: ,
How to cite this article: Pathapati D, Naveen Kumar CH, Reddy NS, Jyothsna K. Dropped gallstones as a computed tomography clue in recurrent intra-abdominal absce sses - A case report. Case Rep Clin Radiol. doi: 10.25259/CRCR_120_2025
Abstract
Dropped gallstones are uncommon but an important complication of laparoscopic cholecystectomy, often overlooked due to their typical asymptomatic nature. Spillage of gallstones into the abdominal cavity is referred to as dropped gallstones. Although often clinically silent, retained intraperitoneal gallstones can occasionally lead to delayed complications, the most notable being recurrent intra-abdominal abscesses and fistula formation. Here, we report a case of recurrent right subdiaphragmatic abscess after laparoscopic cholecystectomy due to dropped gallstones, which was managed surgically.
Keywords
Dropped gallstones
Laparoscopic cholecystectomy
Intra-abdominal abscess
INTRODUCTION
Laparoscopic cholecystectomy is the treatment of choice for symptomatic cholelithiasis and acute cholecystitis. However, gallbladder perforation and spillage of bile or gallstones into the peritoneal cavity occur in approximately 30% of cases. While majority of dropped gallstones remain clinically silent, a subset can lead to delayed complications such as intra-abdominal abscesses, fistula formation, granulomatous peritonitis, and bowel perforation. These complications may present weeks to years after surgery with nonspecific symptoms such as colicky abdominal pain, abdominal wall swelling, anorexia, nausea, and fatigue. Rarely, dropped stones may be embedded within the potential intraperitoneal spaces or abdominal wall, mimicking metastatic implants, tuberculosis, peritoneal loose body, actinomyces, and primary tumors.[1]
Imaging plays an important role in detecting and diagnosing these sequelae. In particular, recurrent intra-abdominal abscesses, though rare, are a significant complication of dropped gallstones and require thorough imaging evaluation. Gallstones act as a nidus for infection, leading to abscess formation, particularly in the perihepatic and subdiaphragmatic spaces. However, imaging findings can be very subtle, and dropped gallstones may be easily overlooked or misinterpreted as surgical clips, calcified lymph nodes, or foreign bodies.
CASE REPORT
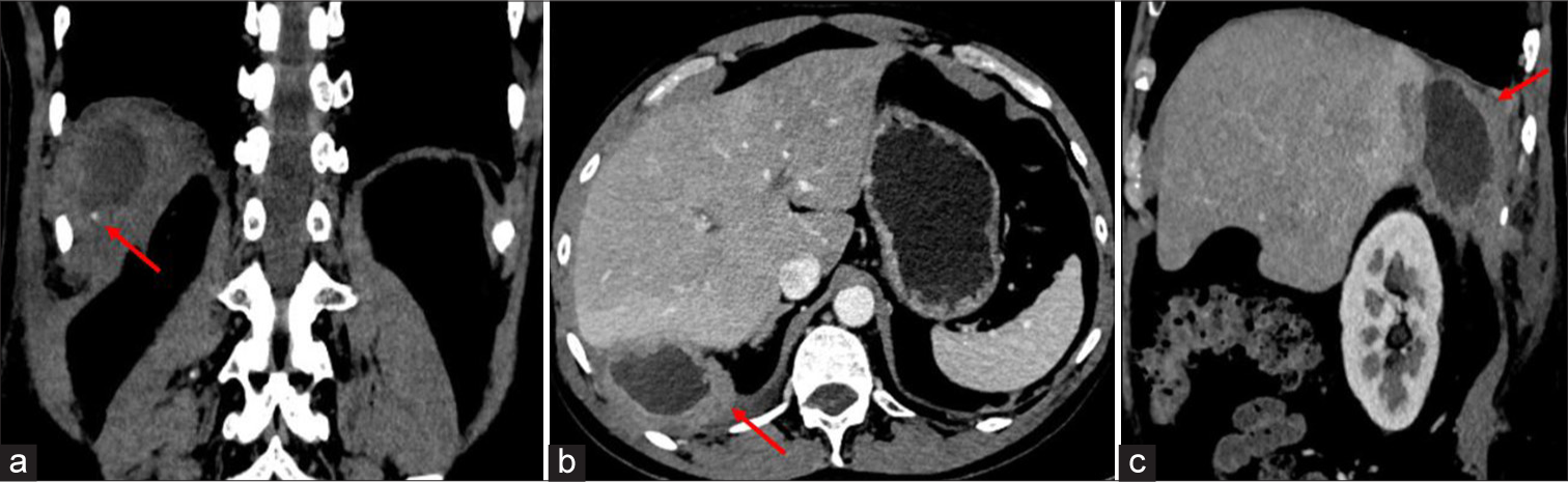
A 60-year-old male patient who had undergone a laparoscopic cholecystectomy 3 years ago for calculus cholecystitis presented with complaints of frequent right hypochondriac pain and fever. Ultrasound (USG) abdomen revealed a thick-walled collection in the subdiaphragmatic region near segment VI of the liver [Figure 1]. The patient had a similar history in the past for which an ultrasound guided aspiration was performed. A contrast-enhanced computed tomography (CECT) abdomen was advised in view of recurrent subdiaphragmatic abscess, which revealed a well-defined thick-walled peripherally enhancing hypodense collection in the right subdiaphragmatic region in contact with hepatic parenchyma of segment VI, with few tiny (2–3 mm) radiopaque foci noted in the wall of the collection [Figure 2]. Hence, based on imaging features, the possibility of dropped gallstones with recurrent abscess formation was considered. Laparoscopic-assisted abscess drainage with the extraction of retained gallstones was performed [Figure 3].

- (a) Ultrasound image showing irregular thick wall collection with small hyperechoic focus in the wall seen in subcapsular location of segment VII of liver. (b) Ultrasound image showing Irregular thick wall collection with echogenic content in subcapsular location of segment VII of liver.

- (a) Computed tomography of abdomen plain (coronal view) showing an ill defined hypodense collection in right subdiaphragmatic region with thick wall and small calcific foci in the wall, (red arrow) indicates small calcific foci. (b) Contrast enhanced computed tomography of abdomen axial section showing central non enhancing hypodense collection with thick irregular peripherally enhancing wall. Red arrow indicating abscess in right subdiaphragmatic region. (c) Contrast enhanced computed tomography of abdomen axial section showing central non enhancing hypodense collection with thick irregular peripherally enhancing wall. Red arrow indicating abscess in right subdiaphragmatic region.

- (a) Laparoscopic images showing drainage of abscess. Black arrow indicating Pus. (b) Laparoscopic image showing retrieved gallstones. Black arrow indicating stone.
DISCUSSION
Although the majority of patients with dropped gallstones remain clinically silent, a subset may develop significant complications over time. Dropped gallstones, a known consequence of laparoscopic cholecystectomy, are typically asymptomatic in 90–97% of cases. However, in rare instances (about 1–3%), they may lead to delayed clinical symptoms such as vague abdominal pain, persistent nausea, weight loss, or signs mimicking malignancy or infection.[2] These atypical manifestations can be challenging to associate directly with the prior surgical event, especially when the onset of symptoms occurs several years after cholecystectomy.[3]
This report presents a unique case of a patient who developed recurrent subdiaphragmatic abscess 3 years after undergoing laparoscopic cholecystectomy. Initial imaging revealed nonspecific fluid collections, which were later attributed to retained intraperitoneal gallstones. Studies have shown that spilled gallstones can be detected in up to 6.9% of laparoscopic cholecystectomy cases, and in as many as 2.4%, they may remain unretrieved and become a long-term nidus for infection or inflammation.[4] While previously considered harmless, retained stones are now recognized as a potential source of abscesses and fistulas. Acting as foreign bodies, these stones often trigger chronic inflammation, particularly pigment stones such as bilirubin stones, which may harbor pathogens. This inflammatory response can lead to granulomatous deposits seen on imaging. In rare cases, persistent inflammation may result in abscess or fistula formation.[5]
Diagnostic imaging modalities, particularly CECT and USG play a critical role in identifying the anatomical relationships and complications associated with retained gallstones.[6] However, the low calcium content of most cholesterol stones often renders them radiolucent, complicating their detection. In addition, chronic inflammatory response or stone calcification can obscure radiological identification, especially when the clinical presentation is nonspecific or delayed.[7,8]
Interestingly, over 80% of the retained stones become secondarily infected, commonly with organisms such as Escherichia coli or Klebsiella pneumonia.[3] This can lead to a persistent inflammatory response that may cause recurrent abscess formation. In our patient, the delayed appearance of symptoms over a period of 3 years after surgery highlights the importance of including dropped gallstones in the differential diagnosis of unexplained intra-abdominal or subdiaphragmatic ab scess.
CONCLUSION
Abdominal abscess secondary to dropped gallstones is an uncommon but important post-operative complication that should be considered, particularly in patients with a history of laparoscopic cholecystectomy. These complications may manifest months to years after surgery and are often accompanied by nonspecific clinical symptoms. From a radiologic perspective, the detection of dropped gallstones can be challenging, as many are radiolucent and may not be readily visible on conventional imaging modalities.
Cross-sectional imaging, particularly computed tomography (CT) and magnetic resonance imaging (MRI), plays a pivotal role in the evaluation of post-operative abdominal collections. While CT may demonstrate inflammatory changes or abscess formation, the direct visualization of stones can be subtle or even absent. MRI, especially with T2-weighted sequences, may aid in identifying stones not visualized on CT; however, imaging findings may still be inconclusive without a strong index of clinical suspicion.
Radiologists should maintain a high index of suspicion when interpreting imaging studies in patients with a prior cholecystectomy who present with recurrent or unexplained abdominal abscesses. Correlation with surgical history, operative notes (if available), and clinical presentation is essential for accurate diagnosis. Early recognition of this entity can significantly impact patient management by guiding targeted surgical or interventional radiological procedures for abscess drainage and stone retrieval.
TEACHING POINTS
Dropped gallstones can happen during laparoscopic cholecystectomy, often without being noticed
These stones can cause infections or abscesses, specially under diaphragm
On CT scan, look for: Small calcified or dense stones inside or near fluid collections. Signs of abscess (fluid with rim enhancement)
Clue for a radiologist: If the patient has recurrent abscess and had gall bladder surgery before, think about the dropped gallstones
Some stones are not visible (non-calcified), so it is easy to miss them without careful review
Important to mention in the reports if you see dropped stones, as this helps guide treatment and prevent abscesses from coming back.
MCQs
-
A 55-year-old woman presents with fever and right upper quadrant pain 8 months after a laparoscopic cholecystectomy. CT shows a rim-enhancing fluid collection beneath the right hemidiaphragm with a central hyperdense focus. What is the most likely diagnosis?
Hepatic hemangioma
Amoebic liver abscess
Subdiaphragmatic abscess due to a dropped gallstone
Liver metastases
Answer: c
-
Which of the following best describes the role of non-contrast CT in diagnosing dropped gallstones?
Only shows abscess, not stones
Helps detect high-density stones missed on contrast CT
Has no value compared to MRI
Only useful in trauma
Answer: b
-
Which of the following statements best explains why some dropped gallstones are not seen on CT imaging?
They rapidly dissolve in bile.
They are radiolucent due to low calcium or cholesterol composition.
They are obscured by surgical clips.
Abscess always mask their presence.
Answer: b
Ethical approval:
Institutional Review Board approval is not required.
Declaration of patient consent:
The authors certify that they have obtained all appropriate patient consent.
Conflicts of interest:
There are no conflicts of interest.
Use of artificial intelligence (AI)-assisted technology for manuscript preparation:
The authors confirm that there was no use of artificial intelligence (AI)-assisted technology for assisting in the writing or editing of the manuscript and no images were manipulated using AI.
Financial support and sponsorship: Nil.
References
- Dropped gallstone presenting as recurrent abdominal wall abscess. Radiol Case Rep. 2022;17:2001-5.
- [CrossRef] [PubMed] [Google Scholar]
- Retained gallstone presenting as large intra-abdominal mass four years after laparoscopic cholecystectomy. Cureus. 2018;10:e2030.
- [CrossRef] [Google Scholar]
- Peritoneal gallstones following laparoscopic cholecystectomy: Incidence, complications, and management. Surg Endosc. 2004;18:1200-7.
- [CrossRef] [PubMed] [Google Scholar]
- Lost stones during laparoscopic cholecystectomy. HPB Surg. 1998;11:105-8. discussion 108-9
- [CrossRef] [PubMed] [Google Scholar]
- "Target sign" from dropped gallstones after laparoscopic cholecystectomy. Radiol Case Rep. 2022;17:23-6.
- [CrossRef] [PubMed] [Google Scholar]
- Learning from the radiological findings of dropped gall stone and/or appendicolith (its complication and management strategy) BJR Case Rep. 2019;5:20180096.
- [CrossRef] [PubMed] [Google Scholar]
- Imaging findings of biliary and nonbiliary complications following laparoscopic surgery. Eur Radiol. 2006;16:1906-14.
- [CrossRef] [PubMed] [Google Scholar]
- Consequences of lost gallstones during laparoscopic cholecystectomy: A review article. Surg Laparosc Endosc Percutan Tech. 2016;26:183-92.
- [CrossRef] [PubMed] [Google Scholar]
